- 葛飾区で歯科をお探しなら新小岩歯科医院|TOP
- > ホワイトニング

毎日ブラッシングしても気になる歯の黄ばみや着色。
これらは、遺伝や加齢、タバコのヤニや飲食物に含まれる色素などが原因です。
これらの黄ばみや着色は、歯を削ることなく薬剤を使った「ホワイトニング」で自然な白さにできます。
当院では、患者様がご自宅でマウスピースを装着するだけで簡単に歯を白くできる「ホームホワイトニング」を行っています。
患者様の歯型を歯科医院で採って作製した専用のマウストレーに専用の薬剤を塗り、一定時間装着して歯を白くする方法です。 ご自宅でできるので時間帯を気にすることもなく、ご自身のペースに合わせて施術が可能です。
ただ、効果には個人差があり、色の変化には2~3ヶ月必要となります。
また、虫歯などの歯のトラブルがある場合には、それらを優先して治療してからの施術になります。
虫歯などの有無については事前にきちんと診査しますので、当院にお気軽にご相談ください。
- どんな歯でも白くなりますか?
- 黄ばみや着色が加齢や遺伝、飲食物によるものでしたら、白くすることは可能です。
ただ、小さいときに飲んだお薬(テトラサイクリン系)が原因で茶色く変色されている方は適応症があり、白さに限界もあります。
適している歯かどうかはカウンセリングで判断しますので、お気軽にご相談ください。
- どれくらい白くなりますか?
- 個人差がありますが、ホームホワイトニングでは使用方法を守っていただければ、周りの方から「白くなった?」と聞かれるぐらいの白さになります。ただ、真っ白になるのではなく、その方の歯の色合いから徐々に白くなりますので、自然な見た目を手に入れることができるでしょう。
- 効果はどれぐらい続きますか?
- 徐々に後戻りしていき、約2年で元の歯の色に近い色になります。
ただ、メインテナンスをすることで白さが持続しますので、半年から1年に1回はホワイトニングすることをおすすめします。
- 痛みはないですか?
- ホワイトニングは歯を削らない、麻酔をしない、痛くないというメリットがあります。
ただ、施術途中に歯がしみることがあります。
これは、一過性のもので知覚過敏と同じような痛みです。
目に見えない傷などがあれば高い確率で起こりますが、すぐに治まるので心配ありません。
- 安全面は大丈夫ですか?
- ホワイトニングに使われている薬剤は過酸化水素を弱酸性に調整したもので、お口の消毒にも使用されているので安全です。ご安心ください。
- デメリットはありますか?
- 歯に目に見えないようなヒビや、治療による深い詰めものなどがある場合に、一過性の知覚過敏で歯がしみることがあります。 これは、ホワイトニング剤が歯に浸透して歯の色素を分解して白くするために起こるもので、しばらくすると治ります。 特に心配はありません。
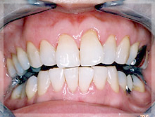
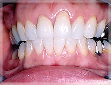
前歯2本のセラミッククラウンと上下前歯部をホワイトニングしたものです。
ホワイトニングの効果が出るのは1~3週間位です。
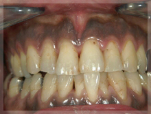
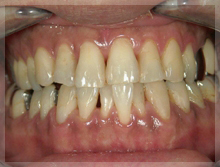
笑った時に見える黒ずんだ歯茎の原因は、タバコなどによるメラニン色素の沈着が考えられます。
このような歯肉の色素沈着で黒ずんでしまった歯ぐきは、薬剤を塗布することで痛みなく除去することができますのでまずはお気軽にご相談ください。






















