口元にコンプレックスはありませんか?
審美治療とは、患者様のご希望通りに自然で美しい口元をつくり上げること。
たとえば、ホワイトニングで歯を白くしたり、セラミックで歯の形を整えたりします。
気になる口元のコンプレックスを状況に合った方法で改善し、お顔と調和のとれた美しさをひき出す施術が審美治療なのです。
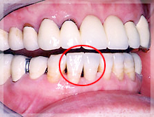
歯を美しくするために使用する歯の土台が「ファイバーコア」。
グラスファイバーという繊維を何重にもたばねて棒状にし、専用の特殊樹脂と一体化させたもので、周りは樹脂で覆われています。
歯と同じくらいの硬さと光の浸透性を持っているため、自然な白い歯を再現が可能です。
当院ではこの「ファイバーコア」を、神経のない歯の土台として使用しています。
審美性に優れ、歯根が破折しにくいという特長があるため、美しい口元をつくり上げるために適した土台といえるでしょう。
![]()
写真を見ておわかりいただけるように、自然な調和がとれ、本物の歯と遜色ない仕上がりになっています。 現在、当院でのファイバーコアを使った治療は下顎前歯2本のみとなっています。
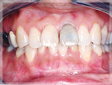
審美治療で使用する被せもののひとつに「セラミッククラウン」があります。
セラミック素材は透明感があり、歯の色合いや形も自由に調整することが可能。
本物の歯に近い仕上がりを実現します。生体親和性が高いため身体にもやさしく、優れた被せものといえます。
セラミックを使用すると保険が適用できないため、一般的に使われるレジンや銀合金よりも治療費用が高くなりますが、こうしたたくさんの特長が自然で美しい口元を演出します。
![]()
セラミッククラウンを使用することによって、写真の症例のように、黒ずんでいる歯が本物の歯と見分けがつかないほどになります。
変色のない、自然な美しい口元を手に入れることができます。
写真は、神経がなくなり黒ずんでしまった歯を漂白し、プラスティックの素材を充填した例になります。 ご自身の歯をそのまま使うことができ、抜歯をしない方法になります。すべての歯で使用できるとは限りませんが、本物の歯を残せるというのがメリットです。

写真のようなシリコーン印象材である寸法精度に優れた素材を使用して歯型を採ります。
この方法を採用することにより、最終的な被せものも寸法通りに仕上げることができます。
























