- 葛飾区で歯科をお探しなら新小岩歯科医院|TOP
- > 歯周病治療・歯周外科
歯と歯ぐきの間にあるプラークに棲む細菌(歯周病菌)によって引き起こされる病気が「歯周病」です。
細菌が歯ぐきに炎症を起こし、歯の根の部分から歯周組織に入りこんで歯の土台となる顎の骨を少しずつ破壊していきます。
初期段階では痛みがほとんどないため、日本人成人の約80%の方が知らず知らずのうちに歯周病にかかっている、もしくはその予備軍といわれています。
「ブラッシング時に歯ぐきから血が出てくる」という症状は、歯周病が進行しているサインです。
放っておくと顎の骨が歯を支えられなくなり抜け落ちてしまう場合もあるので、早めの治療が必要です。

次亜水とは、高純度微アルカリ電解次亜水のことで、タンパク分解洗浄をしながら同時に除菌を行える機能を持っています。もちろん人体には無害で、診療前や診療中のうがい水として用いることにより口腔内環境の改善が促進され、歯周病の治療や予防に大きな効果を発揮します。また、器具や手指の洗浄・除菌としての使用にも最適で、院内感染防止につながります。
当院では、この次亜水を必要濃度に合わせて必要量だけ生成できる装置を導入しています。より安心・安全かつ高効率な診療のご提供が可能となりました。
- 国内で歯周病になっている人はどれぐらいいますか?
- 歯周病は、25歳以上の方の約半数がかかっているといわれています。
病状の差はありますが、成人以上であれば、約80%以上の方が歯周病にかかっているか、その予備軍である可能性があるといわれています。
- 歯周病かどうかは、どのようにしてわかりますか?
- 歯ぐきの状態や、歯を支えている骨の状態をレントゲンで撮影することで確認できます。
また、歯と歯ぐきの境目にある歯周ポケットと呼ばれる溝の深さでも進行の度合いをはかることができます。
- 歯周病は治療すれば完治しますか?
- 歯周病の大きな原因はプラークにあり、プラークを除去することで歯周病の改善が期待できます。
歯科医院では、歯周病完治のために徹底的な歯石除去や破壊された歯周組織の再生治療を行っています。
- 入院は必要ですか?
- 通常は必要ありませんが、歯周病が悪化したときに必要な場合があります。
たとえば、病状が進行して顎の骨まで溶け、歯が抜け落ちそうなときなどです。
- 歯周病での口臭が気になります……。
- プラークや歯石が蓄積されると、歯周病菌もそこで繁殖します。
歯周病菌がにおいのもとになるため、歯周病になっているときにある程度の口臭がするのは避けられません。早めに当院までご相談ください。
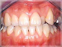
左側の写真の、向かって右側の歯ぐきを増加させる手術を行っています(下顎は手術しています)。
この手術により歯ぐきの退縮や、知覚過敏などを防ぐことができます。
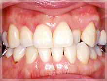
向かって右側の歯肉を増加させる手術を行います。
これにより歯肉退縮、知覚過敏等を防ぐことができます。
下顎も手術しております。
口腔内外の外科的処置に対応する「口腔外科」。
おもに、顎関節症や外傷、親知らずの抜歯などの治療を行います。
ほかにも顎の骨の骨折や、腫瘍など高度医療機関での診察が必要となる場合もあります。





















